我孫子駅からも近い歯医者 我孫子健康歯科・矯正歯科では、
メタルフリーで目立ちにくい
透明なプラスチックでできた
マウスピース型矯正装置による歯科矯正治療を行っています。







患者さんの疑問やお悩みに
お答えするために、
矯正治療についての
ご相談を受け付けています。
ご希望の方は、お手数ですが
お電話にてご予約をお願い致します。
ご予約がお済みの方は、スマートフォンやパソコンから
事前にGoogleフォームへ必要事項のご入力をお願い致します。
ご入力が難しい方は、ご予約日当日に問診票へご記入をお願い致します。


INVISALIGN

透明に近いマウスピース型の矯正装置(アライナー)を歯に装着して歯並びを綺麗にする治療方法です。 一人ひとりの歯に合わせて作製されるアライナーを装着し、治療の段階に合わせて新しいアライナーに交換しながら徐々に歯を動かして、歯並びを矯正します。
透明なので目立ちにくく、取り外しが可能なので普段通りに食事楽しめ、口腔ケアもしっかり行えて虫歯のリスクを抑えます。また、金属不使用のプラスチック素材なので、金属アレルギーの方も安心して装着していただけます。






食事の時や、飲み物を飲む時にはインビザライン・アライナーを外しましょう。
装着したまま飲食をすると、マウスピースに食べかすなどが着いて虫歯や歯周病のもとになってしまったり、マウスピース自体が傷んでしまったりする可能性があるので、お口の健康のためにマウスピースは外してご飯を食べることをおすすめします。 食事の後は、歯磨きをしてからマウスピースを装着すると清潔に保てます。
※マウスピースは厚生労働省に認可を得た材料を使用していますが、
インビザラインは完成物薬機法対象外の矯正歯科装置のため、
医薬品副作用被害救済制度の対象外となる場合があります。
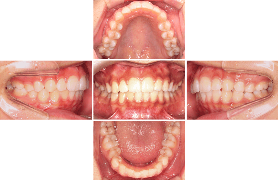
before

after

| 主訴 | ガタガタの歯並びを治したい |
|---|---|
| 治療内容 |
マウスピース型矯正装置(インビザライン)
両側クラスⅠ 叢生
|
| 年齢 | 12〜14歳 |
| 治療期間、回数 |
1年10ヶ月(2019年9月〜2021年7月) 16回 |
| 費用 |
検査費:110,000円(税込) 基本料:990,000円(税込) 調整代:3,300 円(税込) |
| リスク、 副作用 |
・歯を動かすのに痛みを伴う ・マウスピースを20時間以上入れていなかったため、計画に遅れが出る ・虫歯と歯周病の管理を怠ると、進行するリスクが上がる ・重度の叢生であるため、歯肉が下がるリスクがある |
| 担当医 | 石川 健 |
before

after

| 主訴 | 出っ歯を治したい |
|---|---|
| 治療内容 |
マルチブラケット装置(ワイヤー治療)
両側クラスⅡ 叢生
|
| 年齢 | 15〜17歳 |
| 治療期間、回数 |
1年10ヶ月(2017年1月〜2019年9月) 32回 |
| 費用 |
検査費:110,000円(税込) 基本料:990,000円(税込) 調整代:3,300円(税込) |
| リスク、 副作用 |
・上の歯を2本抜歯 ・装置が外れたり、異常が出たらすぐに来院して頂く ・虫歯と歯周病の管理を怠ると、進行するリスクが上がる ・抜歯しての矯正治療なので時間がかかる |
| 担当医 | 石川 健 |
before

after

| 主訴 |
前歯の出っ歯を治したい 親知らずが4本あるが、抜くのが怖い |
|---|---|
| 治療内容 |
マウスピース型矯正装置(インビザライン)
右側クラスI 左側クラスII 正中偏位
顎間ゴムの使用左上3 左下6 ボタン |
| 年齢 | 16〜17歳 |
| 治療期間、回数 |
2年8ヶ月(2019年7月〜2022年3月) 18回 |
| 費用 |
検査費:110,000円(税込) 基本料:972,000円(税込) 調整代:3,300円(税込) |
| リスク、 副作用 |
・歯を動かすのに痛みを伴う ・マウスピースを20時間以上入れていなかったため、計画に遅れが出る ・歯周病の管理を怠ると、進行するリスクが上がる 親知らずが4本あり、抜くのが怖いとご相談がありました。高位にあるため、矯正を始めるにあたり先に抜歯しても良い旨をご説明した上で、抜かずに矯正をスタートしました。
|
| 担当医 | 石川 健 |
before

after

| 主訴 | 右下5番の歯が埋伏している |
|---|---|
| 治療内容 |
ワイヤー矯正
乳歯が残存、右下5番水平埋伏のため開窓牽引
|
| 年齢 | 9〜18歳 |
| 治療期間、回数 |
2013年10月〜 42回(2022年3月時点) |
| 費用 |
検査費:110,000円(税込) 基本料:840,000円(税込) 調整代:5,500円(税込) |
| リスク、 副作用 |
・ブラケット装着時に歯肉炎の症状あり ・保定装置の未装着による後戻りのため、インビザラインにて再矯正中 |
| 担当医 | 石川 健 |